
Hallazgo argentino sobre el “pez cebra” podría abrir la puerta a la regeneración de tejidos humanos
Hallazgo argentino sobre el “pez cebra” podría abrir la puerta a la regeneración de tejidos humanos




Redacción Regionalisimo
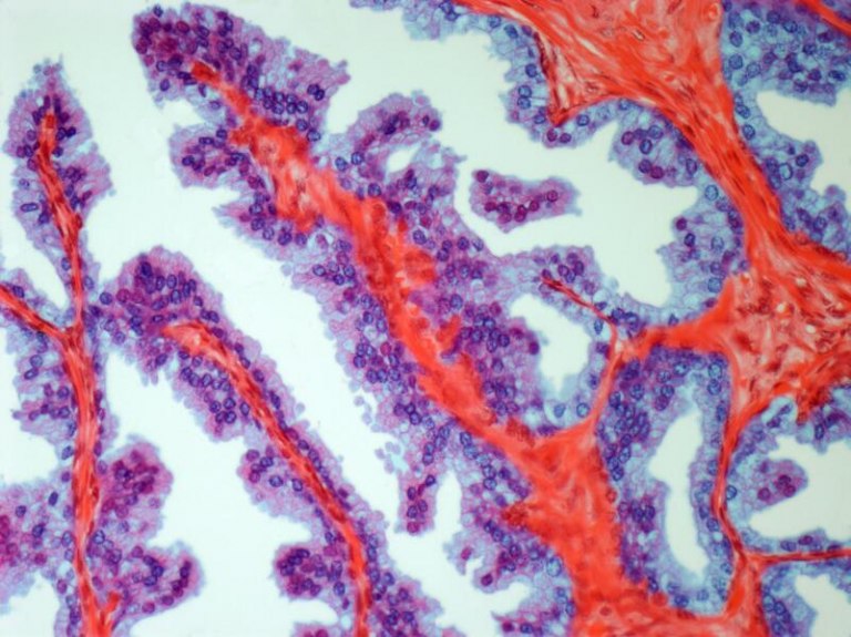
Las terapias innovadoras para tratar a pacientes con cáncer de próstata mejoran las expectativas para quienes se encuentran en la etapa metastásica ya que las mismas limitan el dolor y retrasan el deterioro del estado general de la persona que lo padece preservando durante más tiempo su calidad de vida, mientras que, lo más importante, es que demostraron reducir el riesgo de muerte y retrasar significativamente la progresión de la enfermedad.
La Administración Nacional de Medicamentos, Alimentos y Tecnología Médica (ANMAT) aprobó un nuevo medicamento para el tratamiento de pacientes con cáncer de próstata metastásico sensible a las hormonas, es decir, cuando el cáncer se diseminó más allá de la próstata hacia el cuerpo y responde a la terapia hormonal.
Se trata de Darolutamida, que representa una innovación de última generación en su tipo, inhibe de manera eficiente el desarrollo de las células cancerígenas y reduce el riesgo de muerte en más de un 30%. Además, es la droga que, por su estructura química, inhibe el crecimiento de las células del cáncer e impide que las células cancerígenas crezcan y se multipliquen.


“En Argentina, el tumor más frecuente en hombres es el cáncer de próstata. En todo el continente americano 1 de cada 6 hombres van a sufrir esta enfermedad a lo largo de su vida. Pero esta enfermedad no da síntomas precoces. Entonces muchos de estos hombres, si no hacen sus chequeos se van a presentar a la consulta con una enfermedad ya diseminada, fuera de la glándula prostática”, señaló el Dr. Juan Pablo Sade (M.N. 105.141).
Sade, quien es médico Oncólogo especialista en Uro-Oncología del Instituto Alexander Fleming, añadió: “Nosotros lo denominamos, cáncer de próstata sensible a la castración u hormono metastásico. Es en este escenario, donde la incorporación de la Darolutamida ha arrojado buenos resultados y ha mejorado significativamente la manera en que tratamos a estos pacientes”.
Según las estimaciones del Observatorio Global de Cáncer de la Organización Mundial de la Salud (OMN), en América Latina y el Caribe, el cáncer de próstata es el más común en hombres mayores de 50 años, con unos 214.522 de nuevos casos y unas 57.415 muertes cada año. Si bien las causas de esta enfermedad son desconocidas y puede haber una disposición hereditaria, el riesgo de contraerla aumenta con la edad.
En ocasiones, se trata de una enfermedad considerada silenciosa ya que, al no tener síntomas específicos, puede detectarse en etapas avanzadas. En aquellos casos en que, a pesar del tratamiento hormonal, el cáncer acaba volviéndose resistente a la hormonoterapia convencional, precisando de abordajes terapéuticos distintos, según la presencia o no de metástasis, son necesarios otros mecanismos de acción terapéutica.
En ese sentido, el Dr. Sade destacó: “Este se basa en el abordaje con una triple terapia, esto es, que los hombres con cáncer de próstata sensible a hormonas metastásico (que se diseminó a otras partes del cuerpo) reciban tratamiento conjunto con un antiandrógeno vía oral y dos terapias más (quimioterapia más terapia de deprivación androgénica), logrando reducir la mortalidad más de un 30% respecto del esquema doble con quimioterapia y deprivación androgénica”.
“Darolutamida fue aprobada en más de 50 países de todo el mundo y minimiza el riesgo de efectos adversos ocasionados por los otros tratamientos de su clase, tales como fatiga, riesgo de fracturas, caídas, molestias en la piel o intolerancia gástrica. Además, representa un medicamento innovador en este aspecto, porque inhibe potentemente este receptor y por su estructura química tiene muy pocos efectos adversos, lo cual lo hace muy tolerable. Esto nos permite tratar a los pacientes durante años con este tratamiento”, indicó el médico.
Los controles de rutina no deben postergarse porque en el cáncer de próstata, como en todas las patologías oncológicas, la detección temprana es clave para el éxito de tratamiento y la calidad de vida del paciente.














